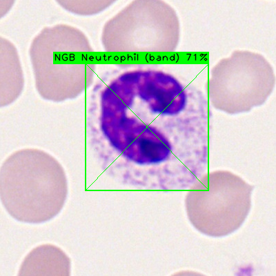
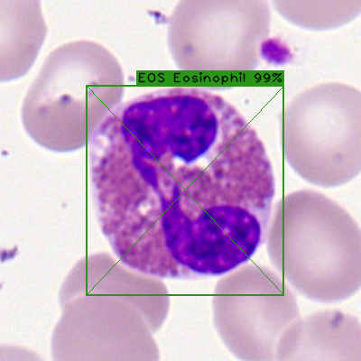
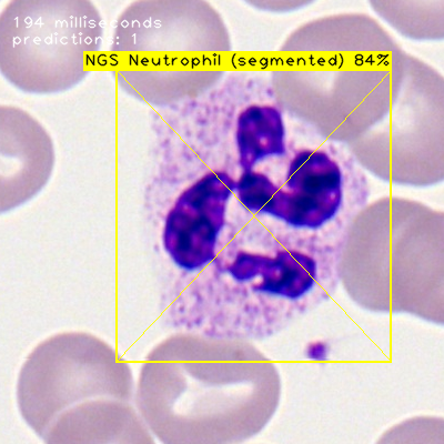
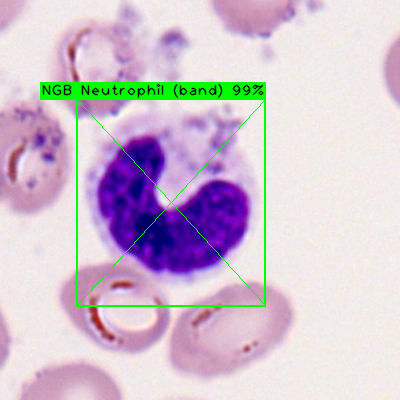
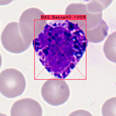
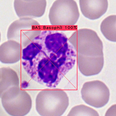
Custom artificial neural network trained to recognize 15 different types of cancer cells:
![]() |
![]() |
![]() |
![]() |
![]() |
![]() |
![]() |
![]() |
![]() |
![]() |
![]() |
![]() |
![]() |
![]() |
![]() |
![]() |
![]() |
![]() |
![]() |
![]() |
![]() |
![]() |
![]() |
![]() |
![]() |
![]() |
![]() |
![]() |
Image source: A Single-cell Morphological Dataset of Leukocytes from TCIA (The Cancer Image Archive).